İçindekiler
Bölüm No Başlık 1 Bursa Protez Diş Nedir? 2 Protez Diş Neden Yapılır? 3 Bursa’da Uygulanan Protez Diş Türleri 4 Sabit Protez Diş Tedavisi 5 Hareketli Protez Diş Tedavisi 6 İmplant Üstü Protez Dişler 7 Protez Diş Tedavi Süreci Nasıl İlerler? 8 Bursa Protez Diş Fiyatları 9 Protez Diş Kullanırken Dikkat Edilmesi Gerekenler 10 Bursa’da Protez Diş Kliniği Seçerken Nelere Dikkat Edilmeli? 11 Sık Sorulan Sorular (SSS) 12 Sonuç ve Uzman Tavsiyeleri
1. Bursa Protez Diş Nedir?
Bursa protez diş, diş kaybı yaşayan bireylerde hem estetik hem de çiğneme fonksiyonunu geri kazandırmak amacıyla uygulanan diş hekimliği tedavilerinin genel adıdır. Günümüzde gelişen teknoloji sayesinde protez dişler, doğal diş görünümüne ve konforuna oldukça yakın şekilde tasarlanmaktadır.
Protez diş uygulamaları; tek diş eksikliğinden tam dişsizlik durumlarına kadar geniş bir yelpazede uygulanabilir. Bursa’da bulunan modern diş klinikleri, hastaya özel planlamalar ile yüksek başarı oranları sunmaktadır.
2. Protez Diş Neden Yapılır?
Protez diş tedavileri birçok farklı ihtiyaçtan dolayı tercih edilir:
- Diş kaybına bağlı çiğneme problemleri
- Konuşma bozuklukları
- Estetik kaygılar
- Diş diziliminde bozulmalar
- Çene kemiği erimesini önleme
Eksik dişler zamanla diğer dişlerin yer değiştirmesine ve çene yapısının bozulmasına neden olabilir. Bu nedenle Bursa protez diş tedavileri yalnızca estetik değil, aynı zamanda sağlık açısından da önemli bir rol oynar.
3. Bursa’da Uygulanan Protez Diş Türleri
Bursa’daki diş kliniklerinde uygulanan başlıca protez diş türleri şunlardır:
- Sabit protez dişler
- Hareketli protez dişler
- İmplant üstü protezler
- Total (tam) protezler
- Parsiyel (kısmi) protezler
Her protez türü, hastanın ağız yapısına, diş eksikliğinin durumuna ve beklentilerine göre belirlenir.
4. Sabit Protez Diş Tedavisi
Sabit protez diş, hastanın ağız içerisinde kalıcı olarak sabitlenen ve dışarıdan çıkarılamayan protez türüdür. Genellikle kron ve köprü uygulamaları bu gruba girer.
Avantajları:
- Doğal diş hissine yakındır
- Estetik görünüm sağlar
- Konuşma ve çiğneme fonksiyonlarını güçlendirir
Bursa protez diş kliniklerinde zirkonyum ve porselen destekli sabit protezler oldukça yaygın olarak tercih edilmektedir.
5. Hareketli Protez Diş Tedavisi
Hareketli protez diş, hasta tarafından takılıp çıkarılabilen protezlerdir. Genellikle çok sayıda diş eksikliğinde veya tam dişsizlik durumlarında kullanılır.
Kimler için uygundur?
- Çene kemiği yeterli olmayan hastalar
- İmplant yaptıramayan bireyler
- Ekonomik çözüm arayanlar
Bursa’da hareketli protezler, günümüz teknolojisiyle daha konforlu ve estetik hale getirilmiştir.
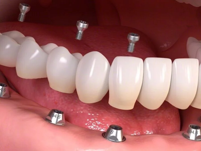
6. İmplant Üstü Protez Dişler
İmplant üstü protezler, çene kemiğine yerleştirilen implantların üzerine yapılan protezlerdir. En sağlam ve uzun ömürlü çözümler arasında yer alır.
Öne Çıkan Özellikleri:
- Kemik erimesini önler
- Uzun ömürlüdür
- Yüksek çiğneme gücü sağlar
Bursa protez diş tedavilerinde implant destekli çözümler, özellikle kalıcı ve konforlu bir tedavi isteyen hastalar tarafından sıkça tercih edilmektedir.
7. Protez Diş Tedavi Süreci Nasıl İlerler?
Protez diş tedavi süreci genellikle şu adımlardan oluşur:
- Ağız ve diş muayenesi
- Röntgen ve ölçü alma
- Tedavi planının oluşturulması
- Prova aşaması
- Protezin uygulanması
- Kontrol ve uyum süreci
Tedavi süresi, seçilen protez türüne göre değişiklik gösterebilir. Bursa’da protez diş tedavileri genellikle 1–4 hafta arasında tamamlanır.
8. Bursa Protez Diş Fiyatları
Bursa protez diş fiyatları, aşağıdaki faktörlere göre değişiklik gösterir:
- Protez türü
- Kullanılan malzeme
- Diş sayısı
- Klinik ve hekim deneyimi
Ortalama Fiyat Aralıkları (Bilgilendirme Amaçlı)
Protez Türü Ortalama Fiyat Sabit Protez Orta – Yüksek Hareketli Protez Orta İmplant Üstü Protez Yüksek Net fiyat bilgisi için mutlaka diş hekimi muayenesi gereklidir.
9. Protez Diş Kullanırken Dikkat Edilmesi Gerekenler
- Günlük ağız bakımı ihmal edilmemelidir
- Sert gıdalardan kaçınılmalıdır
- Düzenli diş hekimi kontrolleri yapılmalıdır
- Hareketli protezler gece çıkarılmalıdır
Bu kurallara uyulduğunda protez dişler uzun yıllar sorunsuz şekilde kullanılabilir.
10. Bursa’da Protez Diş Kliniği Seçerken Nelere Dikkat Edilmeli?
Doğru klinik seçimi, tedavinin başarısını doğrudan etkiler:
- Uzman diş hekimi kadrosu
- Sterilizasyon koşulları
- Kullanılan malzemelerin kalitesi
- Hasta yorumları ve referanslar
- Tedavi sonrası destek hizmetleri
Bursa, gelişmiş diş klinikleri ile Türkiye’nin önde gelen şehirlerinden biridir.
11. Sık Sorulan Sorular
Protez diş ağrı yapar mı?
Hayır, işlem lokal anestezi altında yapılır ve ağrısızdır.Protez diş kaç yıl kullanılır?
Bakımına bağlı olarak 5–15 yıl arası kullanılabilir.Protez diş doğal görünür mü?
Evet, modern protezler doğal dişe oldukça yakındır.
12. Sonuç ve Uzman Tavsiyeleri
Bursa protez diş tedavileri, hem estetik hem de fonksiyonel açıdan yaşam kalitesini önemli ölçüde artırır. Doğru planlama, kaliteli malzeme ve uzman hekim seçimi ile uzun ömürlü ve konforlu sonuçlar elde etmek mümkündür.
Eğer diş kaybı yaşıyorsanız, vakit kaybetmeden Bursa’da uzman bir diş hekimine danışmanız sağlığınız için en doğru adım olacaktır.
Bursa protez diş, eksik veya kaybedilen dişlerin estetik ve fonksiyonel olarak yeniden kazandırılmasını sağlayan modern diş tedavi yöntemlerini kapsar. Sabit ve hareketli protez seçenekleriyle uygulanır.
